Experts Reach Consensus on Cone-Beam CT Utilization in Interventional Liver Cancer Treatments
Experts Reach Consensus on Cone-Beam CT Utilization in Interventional Liver Cancer Treatments

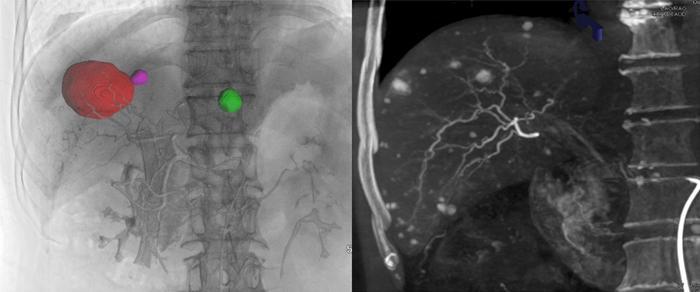
Despite the significant role that cone-beam computed tomography (CBCT) plays in interventional therapies for liver malignancies, it remains an underutilized imaging modality in clinical practice. Various complicating factors hinder its full integration, including nonstandardized operational protocols and limited recognition among interventional radiologists. Such obstacles have prompted the Chinese College of Interventionalists to issue a comprehensive consensus statement, aimed at standardizing and advancing the application of CBCT within interventional liver treatments. This significant document details CBCT scanning techniques, operational standards, and the modality’s potential clinical applications, ensuring a uniform approach to its use.
Interventional therapies, which encompass transarterial chemoembolization (TACE), yttrium-90 selective internal radiation therapy (90Y SIRT), and ablation, are critical components of liver malignancy treatment regimens. The effectiveness of these interventions heavily relies on imaging techniques, including digital subtraction angiography (DSA), conventional computed tomography (CT), ultrasonography, and magnetic resonance imaging (MRI). Each modality, however, is burdened with limitations. DSA, while valuable for visualizing blood vessels and tumor vascularization, only offers two-dimensional images that may not adequately capture the complexities involved in certain procedures. Ultrasonography often struggles to visualize smaller lesions or those positioned near the diaphragm, while the standard CT lacks the capability for real-time imaging.
Cone-beam computed tomography stands out as a promising alternative due to its unique volumetric imaging capabilities. CBCT employs a cone-shaped X-ray beam to produce three-dimensional reconstructions of anatomical structures with a level of detail that traditional modalities may not achieve. This enhanced visualization facilitates automatic detection and navigation of targeted vessels, offers real-time fluoroscopic guidance, and enables precise post-TACE assessment of embolization. Recognizing the advantages of CBCT, interventional radiologists are drawn to it as a potential solution to the limitations faced with traditional imaging methods. Despite its advantages, full clinical integration of CBCT continues to be stymied by obstacles such as insufficient awareness among practitioners and a lack of consistency in operational parameters and application protocols.
To tackle these challenges, the consensus statement published by the Chinese College of Interventionalists serves as a guideline for standardizing the usage of CBCT in liver malignancy treatments. Registration on the International Practice Guidelines Registration and Transparency Platform indicates the document’s credibility and adherence to evidence-based practices. The consensus delineates essential CBCT scanning techniques and operational standards while illuminating the modality’s clinical applications across a variety of interventional procedures. Furthermore, it provides explicit recommendations to address existing challenges, such as limited soft tissue contrast, potential radiation exposure, image artifacts, resolution constraints, and restricted fields of view.
While challenges persist, the future landscape of CBCT in clinical practice is not without hope. Anticipated advancements in detector resolution, reconstruction algorithms, and integration with other imaging modalities promise to enhance the performance of CBCT significantly. Additionally, innovations designed to reduce radiation exposure, improve real-time imaging capabilities, and incorporate artificial intelligence into CBCT processes hold great potential. Such advancements will refine the accuracy, safety, and overall efficacy of CBCT in managing liver malignancies, setting a promising trajectory for future applications in interventional radiology.
Research indicates a notable correlation between pregnancy-induced immunological changes and the outcomes of hepatitis B virus (HBV) infections. However, the specific influences of these changes remain poorly understood. Chronic hepatitis B infection is associated with adverse implications for pregnancy, including increased risks for preterm births. Antiviral therapies may play a crucial role in mitigating these concerns but determining the optimal management strategy postpartum—including whether to continue treatment—necessitates further investigation.
As efforts to prevent mother-to-child transmission (MTCT) of HBV progress, it is clear that more robust strategies are imperative. Research focusing on newer antiviral agents, including tenofovir alafenamide, alongside innovative treatment regimens that do not require hepatitis B immunoglobulin, is critical. Additionally, the role of early antiviral therapy remains a pivotal area for exploration. Establishing comprehensive registries coupled with long-term follow-up studies will be essential to achieving the overarching goal of eliminating HBV globally by the year 2030.
With ongoing innovations within the realm of imaging technology and therapeutic interventions, it is increasingly evident that CBCT has positioned itself as a potentially transformative modality for the treatment of liver malignancies. By continually refining its capabilities and solidifying its role in clinical practice, radiologists can expect to improve patient outcomes significantly. Furthermore, the interplay between emerging technologies and established therapeutic approaches will enhance our understanding and treatment of liver diseases, revolutionizing patient care in this vital area of interventional medicine.
In summary, the consensus statement released by the Chinese College of Interventionalists emphasizes the urgent need for standardized guidelines in the application of CBCT within the framework of interventional liver therapies. Ultimately, this collaborative effort aims to enhance the adoption and efficacy of this advanced imaging modality, ultimately improving clinical outcomes for patients afflicted with liver malignancies. As the landscape of interventional radiology continues to evolve, embracing innovations such as CBCT will be fundamental to pushing the boundaries of what’s possible in the fight against liver cancer and improving the lives of those affected by these devastating diseases.
Subject of Research: Application of Cone-beam Computed Tomography in Interventional Therapies for Liver Malignancy
Article Title: Application of Cone-beam Computed Tomography in Interventional Therapies for Liver Malignancy: A Consensus Statement by the Chinese College of Interventionalists
News Publication Date: 12-Dec-2024
Web References: [Insert URLs here if applicable]
References: [Insert references here if applicable]
Image Credits: Cai-Fang Ni, Zhi-Ping Yan, Bin-Yan Zhong, Zhong-Zhi Jia
Keywords: Cone-beam computed tomography, liver malignancy, interventional therapies, consensus statement, imaging techniques, chronic hepatitis B, mother-to-child transmission, antiviral therapy, radiology advancements, clinical practice.
Hydrogen Achieves Superfluidity at Nanoscale, Validating Half-Century-Old Prediction
Next PostRevolutionizing Empathy: How Empathic Disequilibrium Can Enhance Diagnosis and Treatment for Autism, Schizophrenia, and Beyond
Non-Coding RNAs Crucial in Topotecan Cancer Response

